drsanjeedpujary@gmail.com | +91 9892288912

Total Knee Replacement

Comprehensive Knee Arthroplasty Care by Dr. Sanjeed Pujary

WHAT IS TOTAL KNEE REPLACEMENT

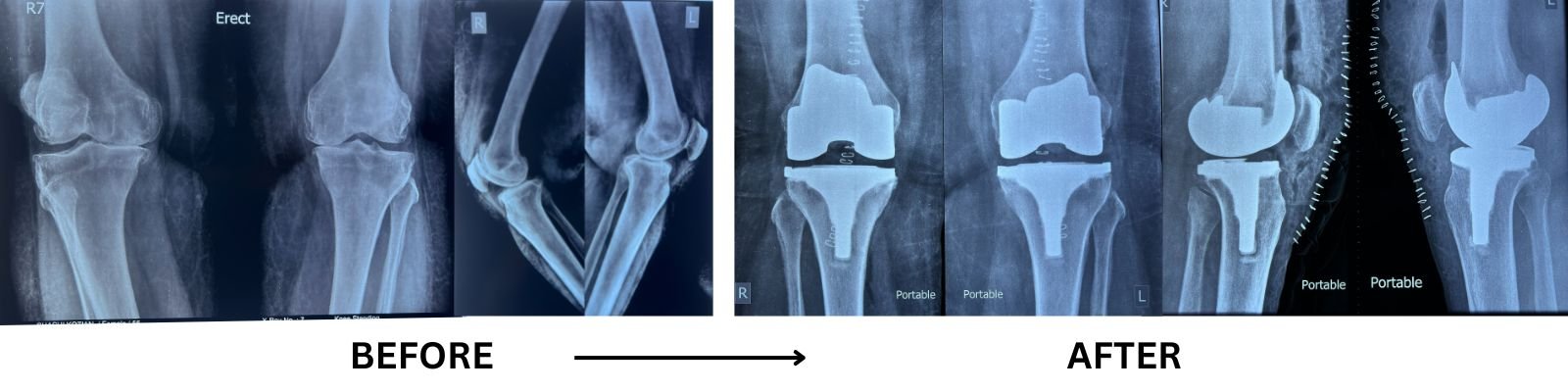
Knee replacement surgery (knee arthroplasty) is a procedure that involves removing diseased or damaged bone and cartilage of a knee joint and replacing them with artificial joint (prosthesis) made of metal, polymers or high-grade plastic parts.

STAGING OF ARTHRITIS
Arthritis Stage 1
Arthritis Stage 2

WHEN IS IT DONE

People suffering from the following conditions should get a knee replacement surgery:

BENEFITS OF SURGERY

Get rid of Pain & frustration.
Do away with swelling, stiffness and redness of knee.
Cross Leg sitting is permitted.
Return to walking, cycling, jogging & more.
Prevent being bed ridden.

AFTER SURGERY PRECAUTIONS

What is the recovery time for a total knee replacement?

With proper care after a knee replacement, including physical therapy, you can get back to the things you love doing, with a recovery time of usually 2-3 months.

Gold Knee
GOLD KNEE
CoCr Knee
COCR KNEE
Oxinium Knee
OXINIUM KNEE

KNEE REPLACEMENT SURGERY CAN SAVE YOU FROM

Knee Surgery

SYMPTOMS THAT INDICATE THE NEED FOR A KNEE REPLACEMENT SURGERY

TOTAL KNEE REPLACEMENT DIAGNOSIS

Knee Surgery

WHAT CAN YOU EXPECT POST KNEE REPLACEMENT?

1
Day 1 after surgery

The patient may be able to stand and walk with the support of a walker

3
Day 3

Climbing stairs and walking with or without a stick, patient can be discharged on day 3

7
Day 7

Walks comfortably without support.

30
Day 30

Return to normal work

6-8
6-8 weeks

Patient can drive as well.

WHY YOU SHOULD NOT DELAY TREATMENT?

Relief from Physiotherapy alone is less effective

Ayurveda & Homeopathy offer short-term relief.

Regaining Natural Knee Movements Completely post surgery.

Dr. Sanjeed Pujary

Consultant Orthopaedic Surgeon

Dr. Sanjeed Pujary is a Consultant Joint Replacement & Orthopaedic Surgeon with over 10 years of experience. He has performed more than 1000 successful surgeries including Total Knee Replacement.

Book Your Appointment Today

Take the first step toward a pain-free and active life. Consult our orthopaedic expert for personalized Total Knee Replacement solutions.

Contact Us Now