drsanjeedpujary@gmail.com | +91 9892288912

Complex Trauma Surgeries

Expert care for severe and complex orthopedic injuries

Complex Trauma Surgeries

A crush injury occurs during a high-velocity impact. Crush injuries are severe and challenging to handle. Often, these complex injuries cause heavy damage to soft tissue and skeletal structures. Potentially such injuries may result in disastrous complications and also cause other long-term effects if they are mishandled and mistreated.

What are the problems associated with complex fractures?

There are multiple bone pieces in a single fracture.
Often multiple bones are involved at a time.
In some instances, there is a wound near the fracture site from which bone pieces may come out with severe bleeding.
Adjacent muscles, ligaments, blood vessels or nerves may be damaged.

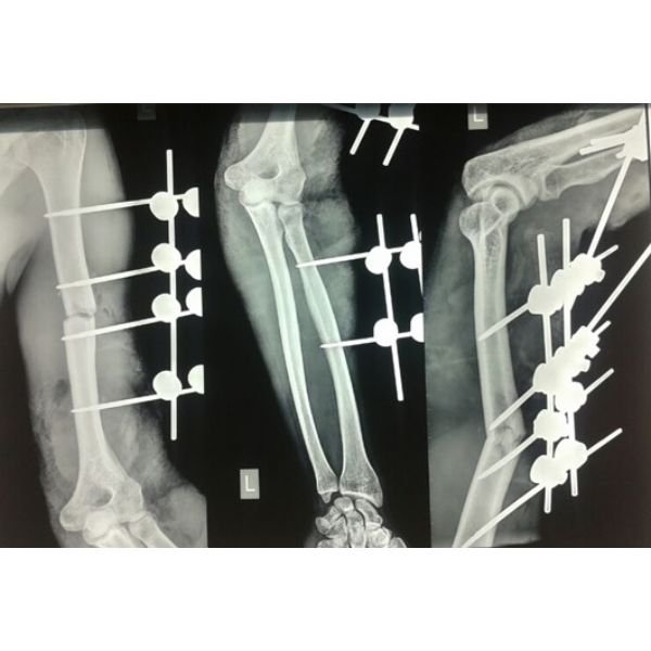
Open Elbow Fracture

Open Elbow Fracture
Partial Hand Amputation
Complex Leg Injury

Partial Hand Amputation

Shoulder Trauma
Ankle Reconstruction
Femur Fracture Repair
Hand Fracture Fixation

What are the problems during recovery of these fractures?

Expert Care for Complex Trauma

Dr. Sanjeed Pujary specializes in managing complex fractures and trauma cases with advanced surgical precision and personalized rehabilitation plans.

Dr. Sanjeed Pujary

Consultant Orthopaedic & Joint Replacement Surgeon

MBBS, MS (Orthopaedics), F.I.H.K.A,
Knee & Hip replacement surgeon, Trauma Surgeon

+91-9892288912   |   drsanjeedpujary@gmail.com

Digital Business Card | Online Consultation

Book Your Appointment Today

Get specialized trauma care and regain mobility under expert supervision.

Contact Us Now